LE CURE
Conservativa diretta ed indiretta
L’odontoiatria conservativa è una branca dell’odontoiatria che ha come obiettivo la conservazione dei denti naturali colpiti da carie, fratture o altre lesioni. Il trattamento consiste nella rimozione del tessuto danneggiato e nella successiva ricostruzione della forma e della funzione originaria del dente, utilizzando materiali compositi estetici e resistenti.
il tuo alleato per un sorriso sano
Cos’è la carie e perché è importante curarla subito
La carie dentale è una patologia causata da batteri presenti normalmente nella bocca. Quando questi microrganismi si combinano con zuccheri introdotti frequentemente nella dieta quotidiana, producono acidi che attaccano lo smalto e i tessuti duri del dente, creando cavità sempre più profonde.
Se intercettata tempestivamente, la carie può essere curata in modo semplice e indolore, ripristinando completamente la funzionalità del dente. Al contrario, se trascurata, l’infezione può estendersi fino alla polpa dentale (la parte interna del dente), rendendo necessaria una terapia canalare (nota anche come devitalizzazione) o, nei casi più gravi, portare alla perdita del dente.
Tecniche moderne e materiali di alta qualità
Come curiamo un dente cariato
Per garantire la massima efficacia e sicurezza durante la cura di un dente cariato, presso lo Studio Dentistico Martini adottiamo protocolli moderni e tecnologie all’avanguardia.
Il trattamento inizia con l’anestesia locale, seguita dall’isolamento del dente con la diga di gomma. Questo strumento consente di lavorare in un ambiente asciutto e sterile, riducendo al minimo il rischio di contaminazione batterica durante la procedura.
Grazie all’impiego di strumenti ingrandenti, rimuoviamo in modo estremamente preciso solo il tessuto dentale danneggiato, preservando la struttura sana del dente.
Una volta ripulita l’area cariata, valutiamo l’estensione del danno per definire il tipo di restauro più adatto:
Otturazione diretta: quando la carie interessa una zona limitata, si procede con una ricostruzione diretta, realizzata direttamente in bocca con materiali compositi estetici.
Restauro indiretto (intarsio o corona): se la lesione è ampia e il dente risulta indebolito, si opta per un restauro più solido e duraturo, realizzato al di fuori della bocca (in laboratorio) e successivamente cementato. Si può trattare di un intarsio (parziale) o di una corona (totale), in base al grado di compromissione.

Fase iniziale
Situazione iniziale prima del trattamento: presenza di vecchie otturazioni in composito e carie secondarie non più funzionali né estetiche, da sostituire con restauri più duraturi.
Situazione iniziale prima del trattamento: presenza di vecchie otturazioni in composito e carie secondarie non più funzionali né estetiche, da sostituire con restauri più duraturi.

Fase intermedia
Rimozione delle vecchie otturazioni e pulizia delle cavità: il tessuto compromesso è stato eliminato, preparando i denti alla nuova ricostruzione tramite restauri adesivi indiretti.
Rimozione delle vecchie otturazioni e pulizia delle cavità: il tessuto compromesso è stato eliminato, preparando i denti alla nuova ricostruzione tramite restauri adesivi indiretti.

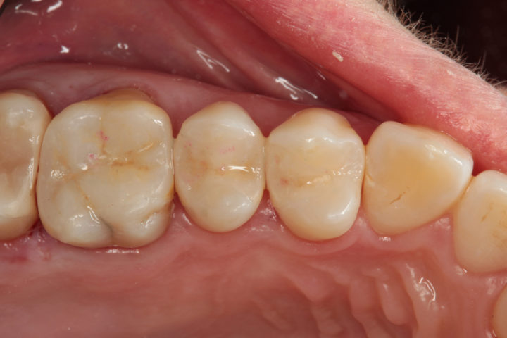
Risultato finale
Restauri completati con materiali estetici altamente resistenti: forma, funzione e colore dei denti sono stati ripristinati in modo armonico e naturale, per un sorriso sano e duraturo.
Restauri completati con materiali estetici altamente resistenti: forma, funzione e colore dei denti sono stati ripristinati in modo armonico e naturale, per un sorriso sano e duraturo.
tecnologia avanzata
Diagnosi precoce della carie
Presso lo Studio Dentistico Martini, l’individuazione della carie avviene durante un’accurata visita odontoiatrica, supportata da strumenti di ultima generazione.
Occhiali ingranditori professionali per una visione precisa e dettagliata
Radiografie bite-wing e per quadranti, ideali per rilevare lesioni tra i denti
DIAGNOcam, una tecnologia innovativa basata sulla transilluminazione dentale che consente di identificare precocemente le carie come aree scure, senza uso di radiazioni
Grazie alla DIAGNOcam, è possibile rilevare la carie in fase iniziale e intervenire in modo rapido, minimamente invasivo e senza dolore, preservando al massimo la sostanza dentale naturale.
tecnologia avanzata
Prevenzione e
controlli regolari
Per prevenire la formazione di carie, consigliamo sempre di mantenere una corretta igiene orale domiciliare e di affiancarla a:
Sedute regolari di igiene orale professionale
Controlli periodici dal dentista, che permettono di individuare eventuali carie quando sono ancora allo stadio iniziale e facilmente trattabili
PRENOTA ORA