LE CURE
Estrazione denti del giudizio e radici dentali
Grazie all’uso di tecniche microchirurgiche avanzate e di tecnologie all’avanguardia come la TAC 3D Cone Beam, l’estrazione dei denti del giudizio o di radici dentali fratturate è oggi un intervento rapido, preciso e a bassa invasività.
Presso lo Studio Dentistico Martini, ogni intervento viene pianificato con diagnostica tridimensionale ad alta definizione, per garantire la massima sicurezza e prevedibilità del risultato.
Chirurgia ossea
PIEZOSURGERY®
L’estrazione chirurgica viene eseguita con l’ausilio della tecnologia piezoelettrica (tecnica originale PIEZOSURGERY®), che utilizza microvibrazioni ultrasoniche per tagliare selettivamente solo l’osso, senza intaccare i tessuti molli circostanti (gengiva, nervi, vasi).

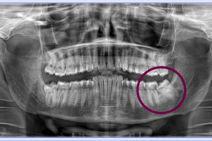
Diagnosi con TAC Cone Beam
Grazie alla tecnologia Cone Beam 3D, l’estrazione dei denti del giudizio e delle radici dentali fratturate viene pianificata con la massima precisione, valutando posizione, profondità e rapporti con le strutture anatomiche vicine.
Grazie alla tecnologia Cone Beam 3D, l’estrazione dei denti del giudizio e delle radici dentali fratturate viene pianificata con la massima precisione, valutando posizione, profondità e rapporti con le strutture anatomiche vicine.

Chirurgia piezoelettrica ad alta precisione
Nel nostro studio utilizziamo la tecnica PIEZOSURGERY®, che sfrutta microvibrazioni ultrasoniche per tagliare esclusivamente l’osso, senza danneggiare i tessuti molli. Una chirurgia mini-invasiva, sicura e precisa.
Nel nostro studio utilizziamo la tecnica PIEZOSURGERY®, che sfrutta microvibrazioni ultrasoniche per tagliare esclusivamente l’osso, senza danneggiare i tessuti molli. Una chirurgia mini-invasiva, sicura e precisa.

Recupero più rapido e meno dolore
Grazie alla chirurgia piezoelettrica, i fastidi post-operatori sono notevolmente ridotti. Meno trauma, guarigione più rapida e un recupero più confortevole per il paziente.
Grazie alla chirurgia piezoelettrica, i fastidi post-operatori sono notevolmente ridotti. Meno trauma, guarigione più rapida e un recupero più confortevole per il paziente.