LE CURE
Parodontologia
La malattia parodontale, comunemente chiamata parodontite, è un’infezione batterica cronica che colpisce il parodonto, ovvero il complesso dei tessuti che sostengono il dente: gengiva, legamento parodontale e osso alveolare. Si tratta della principale causa di perdita dei denti negli adulti.
Il problema inizia spesso in modo silenzioso: i depositi di tartaro sotto-gengivale provocano una progressiva infiammazione gengivale, che se trascurata porta alla distruzione del legamento parodontale e al riassorbimento dell’osso di supporto, compromettendo la stabilità del dente.
il tuo alleato per un sorriso sano
Prevenzione della parodontite
La parodontite è una malattia infiammatoria grave che può compromettere in modo irreversibile la salute dei denti e delle gengive. La terapia principale per prevenirla è rappresentata dall’igiene orale professionale periodica, che include
Un piano di trattamento personalizzato per ogni paziente
Dopo un’accurata visita clinica, è fondamentale definire un piano di trattamento di igiene orale su misura, basato sulla condizione del parodonto e sulle esigenze specifiche del paziente. Questo approccio personalizzato consente di intervenire in modo mirato ed efficace nella prevenzione e gestione della malattia parodontale.
Dopo un’accurata visita clinica, è fondamentale definire un piano di trattamento di igiene orale su misura, basato sulla condizione del parodonto e sulle esigenze specifiche del paziente. Questo approccio personalizzato consente di intervenire in modo mirato ed efficace nella prevenzione e gestione della malattia parodontale.
Educazione, motivazione e richiami periodici
Il successo del trattamento dipende anche da una corretta educazione all’igiene orale domiciliare e dalla motivazione del paziente, supportata costantemente dall’igienista dentale. È infatti attraverso la collaborazione tra professionista e paziente che si possono raggiungere e mantenere risultati duraturi.
Il successo del trattamento dipende anche da una corretta educazione all’igiene orale domiciliare e dalla motivazione del paziente, supportata costantemente dall’igienista dentale. È infatti attraverso la collaborazione tra professionista e paziente che si possono raggiungere e mantenere risultati duraturi.
Prima e Dopo il trattamento
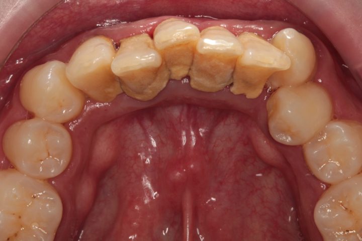
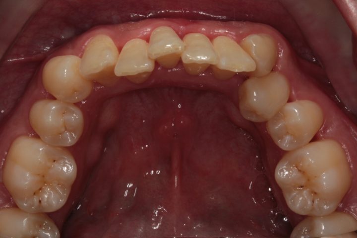
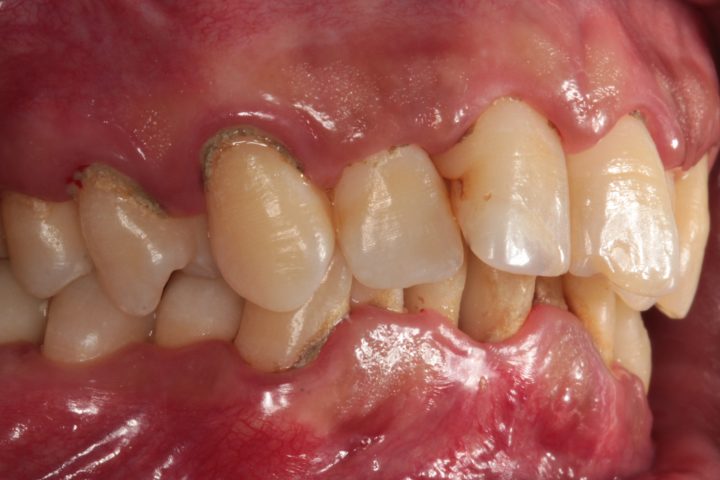
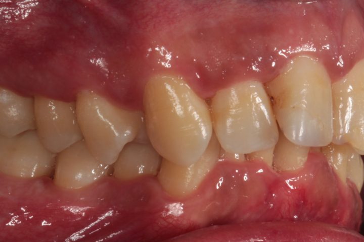
Grave caso di parodontite aggressiva
PRIMA: Tessuti gengivali fortemente infiammati, arrossati e gonfi a causa dell’eccessivo accumulo di tartaro sotto-gengivale. Una condizione avanzata di parodontite che comprometteva la stabilità dei denti.
DOPO: Dopo una terapia parodontale mirata con scaling, levigatura radicolare e igiene orale professionale, i tessuti si presentano sfiammati, le gengive più aderenti e l’aspetto complessivo della bocca notevolmente migliorato.


PRIMA
DOPO


PRIMA
DOPO
Prenota ora la tua visita parodontale
Non trascurare la salute delle tue gengive: intervenire in tempo è fondamentale per evitare danni irreversibili. Se hai notato uno o più sintomi, o se non ti sottoponi da tempo a un controllo, prenota subito una visita presso lo Studio Dentistico Martini.