Studio Dentistico Martini Mezzocorona e Lavis
I SERVIZI

CEREC

Il futuro dell’odontoiatria è già realtà
Presso lo Studio Dentistico Martini, utilizziamo la tecnologia CEREC (Chairside Economical Restoration of Esthetic Ceramics) per realizzare corone, faccette, ponti e intarsi in ceramica direttamente in studio, in una singola seduta.
Grazie alla progettazione digitale 3D e alla fresatura robotizzata, è possibile ottenere una protesi altamente estetica, precisa e duratura, senza attese e senza laboratori esterni.
PRENOTA UN APPUNTAMENTO

I vantaggi del sistema CEREC

Meno appuntamenti, risultati immediati
Dopo la preparazione del dente, è possibile applicare la corona definitiva in poche ore, evitando provvisori e visite multiple.
Massima precisione, nessuna impronta scomoda 
Grazie alla scansione digitale con telecamera intraorale ad alta definizione, si elimina il fastidio di paste per impronte, ottenendo un modello virtuale della bocca in pochi secondi.
Estetica eccellente e materiali biocompatibili
Le protesi CEREC sono realizzate in ceramica integrale stratificata, priva di metallo, ideale anche per i denti anteriori. Il risultato è un restauro naturale, armonico e resistente.
Progettazione personalizzata e condivisa
La progettazione avviene in tempo reale alla poltrona, con il paziente coinvolto nella scelta del colore, della forma e del materiale ceramico.
il tuo alleato per un sorriso sano

Come funziona il trattamento con CEREC?

Preparazione del dente e scansione digitale delle arcate
Progettazione virtuale della protesi con software CAD
Fresatura robotizzata in studio con macchinari di altissima precisione
Cementazione definitiva della corona in giornata
In poche ore, il paziente lascia lo studio con un nuovo dente funzionale ed esteticamente perfetto, realizzato su misura.
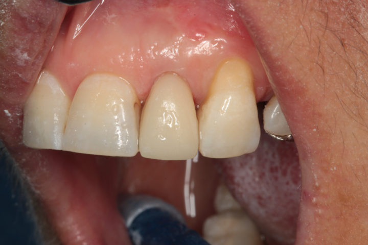
PRIMA
dopo
Il futuro dell’odontoiatria è già realtà

Dente fratturato a causa di un trauma risolto in giornata

Frattura dentale dovuta a un incidente trattata con una faccetta estetica in ceramica integrale realizzata e applicata in un solo appuntamento grazie alla tecnologia CEREC
chevron-right
linkedin facebook pinterest youtube rss twitter instagram facebook-blank rss-blank linkedin-blank pinterest youtube twitter instagram