Studio Dentistico Martini Mezzocorona e Lavis
LE CURE

Implantologia

Allo Studio Dentistico Martini, la nostra missione è restituire un sorriso fisso, stabile ed esteticamente naturale anche ai pazienti che hanno perso uno o più denti (edentulia).
Grazie all’implantologia dentale, è possibile sostituire i denti mancanti con impianti su cui vengono fissate protesi dall’aspetto indistinguibile da quello dei denti naturali.
Tornare a sorridere con spontaneità e sicurezza è possibile: con gli impianti, i pazienti ritrovano funzionalità masticatoria, estetica armonica e fiducia in sé stessi.
PRENOTA UN APPUNTAMENTO
il tuo alleato per un sorriso sano

Esperienza, tecnologia e sicurezza

Con un’esperienza decennale nel settore e l’impiego di tecniche implantari moderne e mini-invasive, operiamo seguendo i più alti standard di sicurezza e precisione.
L’uso di tecnologie digitali avanzate ci permette di pianificare ogni intervento in modo personalizzato e predicibile, offrendo risultati stabili e duraturi nel tempo, sia dal punto di vista estetico che funzionale
il nostro protocollo implantare personalizzato

Come procediamo

Presso lo Studio Dentistico Martini, ogni intervento di implantologia viene pianificato con la massima attenzione alla salute generale del paziente, all’anamnesi medica, allo stato di osso e gengiva e, soprattutto, alle sue esigenze estetiche e funzionali.
Grazie all’utilizzo di tecnologie all’avanguardia e alla sedazione cosciente, offriamo trattamenti sicuri, precisi e a basso impatto emotivo anche per i pazienti più ansiosi.
come si svolge

Le fasi del trattamento implantare

Il percorso implantologico presso lo Studio Dentistico Martini è strutturato in 5 fasi fondamentali, studiate per garantire la massima precisione, sicurezza e personalizzazione in ogni caso clinico.
PRENOTA ORA

Fase 1: Visita implantologica e diagnosi preliminare

Durante la prima visita valutiamo:
- L’anamnesi medica generale del paziente
- Lo stato di salute orale, con attenzione a osso, gengive, occlusione e denti residui
- La presenza di carie, parodontiti o gengiviti (da trattare prima dell’intervento)
- Fattori di rischio come fumo, diabete, osteoporosi
- Il livello di ansia e la possibilità di ricorrere alla sedazione cosciente
In questa fase si gettano le basi per una pianificazione personalizzata, fondamentale per il successo dell’intervento.

Fase 2: Diagnostica digitale e progettazione della protesi

Utilizziamo strumenti di ultima generazione per una diagnosi dettagliata:
- Radiografie endorali e ortopanoramiche digitali
- TAC Cone Beam 3D, per analizzare i volumi ossei e le strutture anatomiche vicine (seni mascellari, fosse nasali, nervo alveolare)
- Progettiamo la protesi personalizzata in collaborazione con uno studio odontotecnico di fiducia, con cui realizziamo manufatti estetici e funzionali tramite tecnologie CAD/CAM.
Ogni impianto viene scelto tra i migliori brand italiani del settore, selezionati direttamente dal dott. Martini.

Fase 3: Intervento chirurgico implantare

L’intervento prevede:
- L’inserimento di uno o più impianti in titanio all’interno dell’osso
- La sutura dei tessuti gengivali per favorire una guarigione ottimale
- La possibilità di eseguire l’intervento in sedazione cosciente, per il massimo comfort
L’intervento è rapido, mini-invasivo e viene eseguito in ambiente sterile con protocolli di sicurezza avanzati.

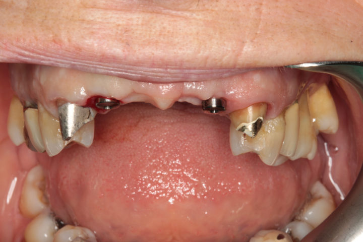
Fase 4: Osteointegrazione e scopertura degli impianti

Dopo un periodo di guarigione da 3 a 6 mesi, durante il quale l’impianto si integra stabilmente con l’osso, si procede con una seconda fase chirurgica:
- Scopertura dell’impianto
- Inserimento di viti di guarigione
Applicazione di monconi in titanio, che sporgono dalla gengiva e fungono da base per la corona o la protesi
Questa fase segna il passaggio dalla chirurgia alla fase protesica finale.

Fase 5: Fissaggio della protesi e mantenimento nel tempo

Una volta completata l’osteointegrazione:
- Si realizza e applica la corona definitiva, o la protesi tipo Toronto Bridge per le arcate complete
- Al paziente viene consegnato il passaporto implantare, con tutte le specifiche dell’impianto
- Viene impostato un programma di controlli periodici post-implantari
- Le protesi vengono smontate, disinfettate e controllate
- Si eseguono radiografie di controllo e sedute di igiene professionale personalizzata
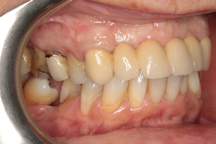
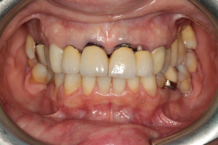
Situazione iniziale:
Incisivo superiore gravemente fratturato e non recuperabile. La frattura coinvolge la radice del dente, rendendo necessaria l’estrazione e la sostituzione con un impianto dentale.
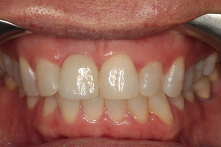
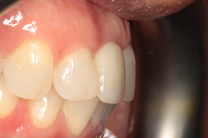
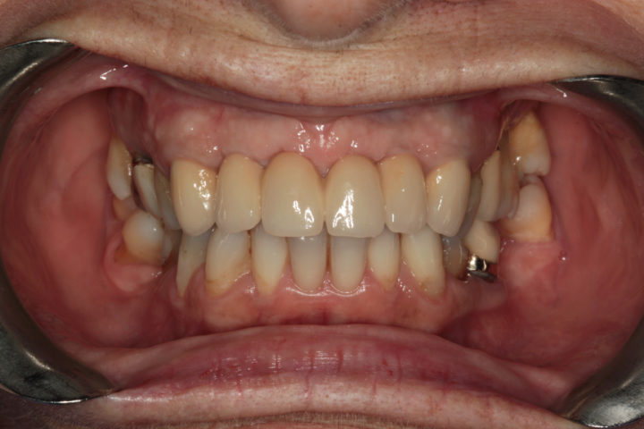
Risultato frontale:
Dopo l’intervento di implantologia, il nuovo incisivo su impianto si integra perfettamente per forma, colore e funzione. Il sorriso risulta naturale, armonico e completamente riabilitato.
Risultato frontale:
Dopo l’intervento di implantologia, il nuovo incisivo su impianto si integra perfettamente per forma, colore e funzione. Il sorriso risulta naturale, armonico e completamente riabilitato.
il tuo alleato per un sorriso sano

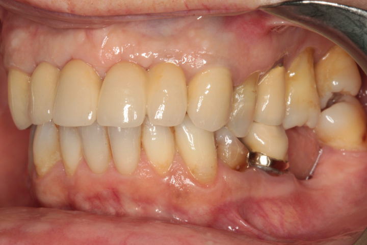
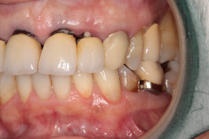
Riabilitazione di un vecchio ponte 

Rimozione del ponte esistente con monconi cariati, esecuzione di estrazioni dentarie mirate, rigenerazione ossea guidata, e completamento del trattamento con un ponte in ceramica supportato da impianti in titanio.
Studio Dentistico Martini

Perché scegliere lo Studio Dentistico Martini per l’implantologia

Molti studi offrono trattamenti implantari, ma solo pochi professionisti garantiscono risultati eccellenti e duraturi nel tempo. Allo Studio Dentistico Martini, ci distinguiamo per competenza, esperienza e continua innovazione.
Il dott. Martini vanta una decennale esperienza in implantologia e ha frequentato numerosi corsi di chirurgia avanzata in Italia e all’estero. È in possesso di un Master universitario di II livello in emergenze e sedazione cosciente conseguito presso l’Università di Padova e fa parte dell’Implantology Research Team con sede a Cartagena de Indias (Colombia), dove collabora attivamente nella ricerca e nello sviluppo di protocolli chirurgici all’avanguardia.
I nostri punti di forza
Aggiornamento continuo sulle più moderne tecniche implantologiche
Utilizzo esclusivo di materiali certificati, biocompatibili e scientificamente validati
Ambiente sterile, con materiali monouso e procedure che garantiscono la massima sicurezza
Team esperto e altamente qualificato, specializzato in chirurgia implantare avanzata
Approccio empatico e personalizzato, con la possibilità di intervenire in sedazione cosciente
Scegliere lo Studio Dentistico Martini significa affidarsi a professionisti preparati, 
che uniscono tecnologia, precisione chirurgica e attenzione al paziente
per offrirti un sorriso fisso, stabile e perfettamente integrato.
chevron-right
linkedin facebook pinterest youtube rss twitter instagram facebook-blank rss-blank linkedin-blank pinterest youtube twitter instagram