I SERVIZI
Implantologia a carico immediato
L’implantologia a carico immediato è una tecnica innovativa e sempre più utilizzata che consente di ottenere una riabilitazione estetica e funzionale immediata, applicando una protesi provvisoria fissa nello stesso giorno in cui vengono inseriti gli impianti dentali.
Questo approccio permette al paziente di recuperare subito il sorriso, evitando l’uso di protesi mobili temporanee e migliorando significativamente il comfort post-operatorio.
denti più bianchi in una sola seduta
Quando è possibile il carico immediato?
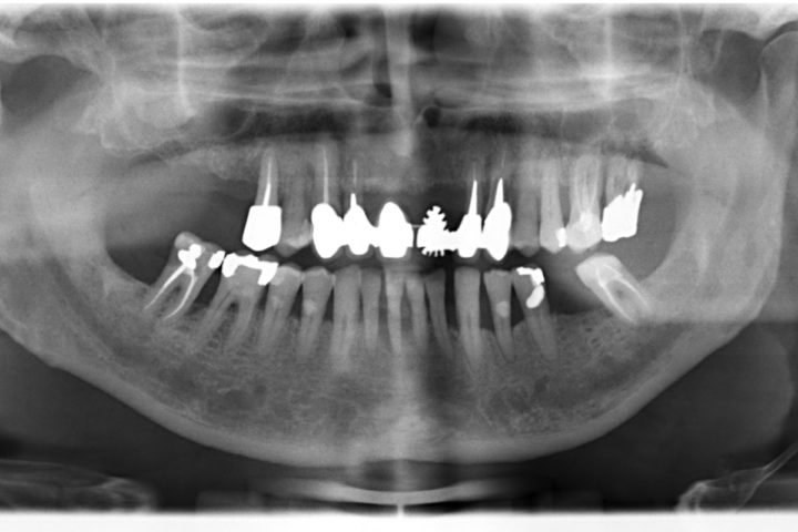
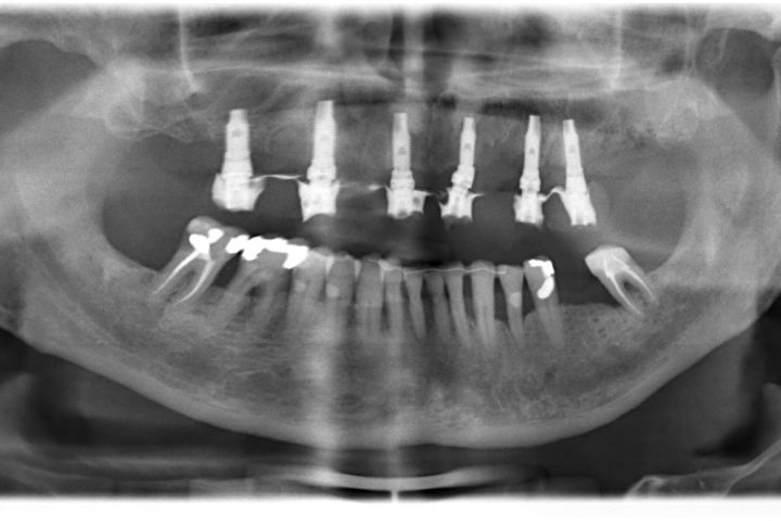
La possibilità di eseguire un impianto a carico immediato dipende da una serie di fattori clinici, valutati attraverso indagini radiografiche preliminari come TAC Cone Beam e ortopanoramica digitale.
La fattibilità del trattamento viene sempre confermata definitivamente durante l’intervento chirurgico, sulla base della stabilità primaria dell’impianto inserito.
Quando è indicata l’implantologia a carico immediato
Questa tecnica viene utilizzata nella maggior parte dei casi di riabilitazione completa, in particolare quando:
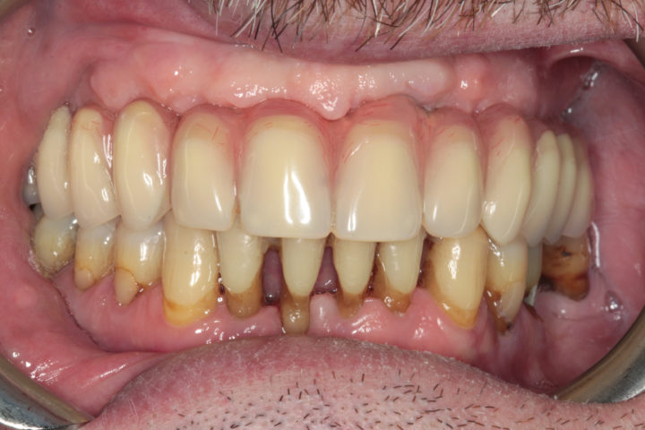
Non sono più presenti denti naturali su una o entrambe le arcate;
I denti residui sono compromessi e devono essere estratti;
Il paziente è portatore di protesi mobile e desidera passare a una soluzione fissa su impianti (es. ponti fissi su impianti dentali).


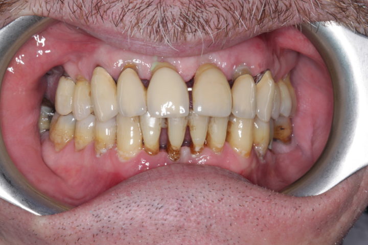
PRIMA
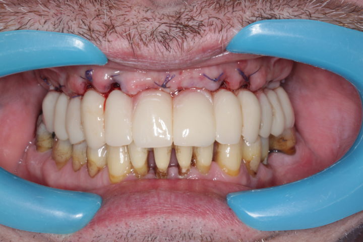
dopo



Arcata superiore - Fase iniziale, intermedia e finale



Caso risolto con Toronto Bridge - Fase iniziale, intermedia e finale