
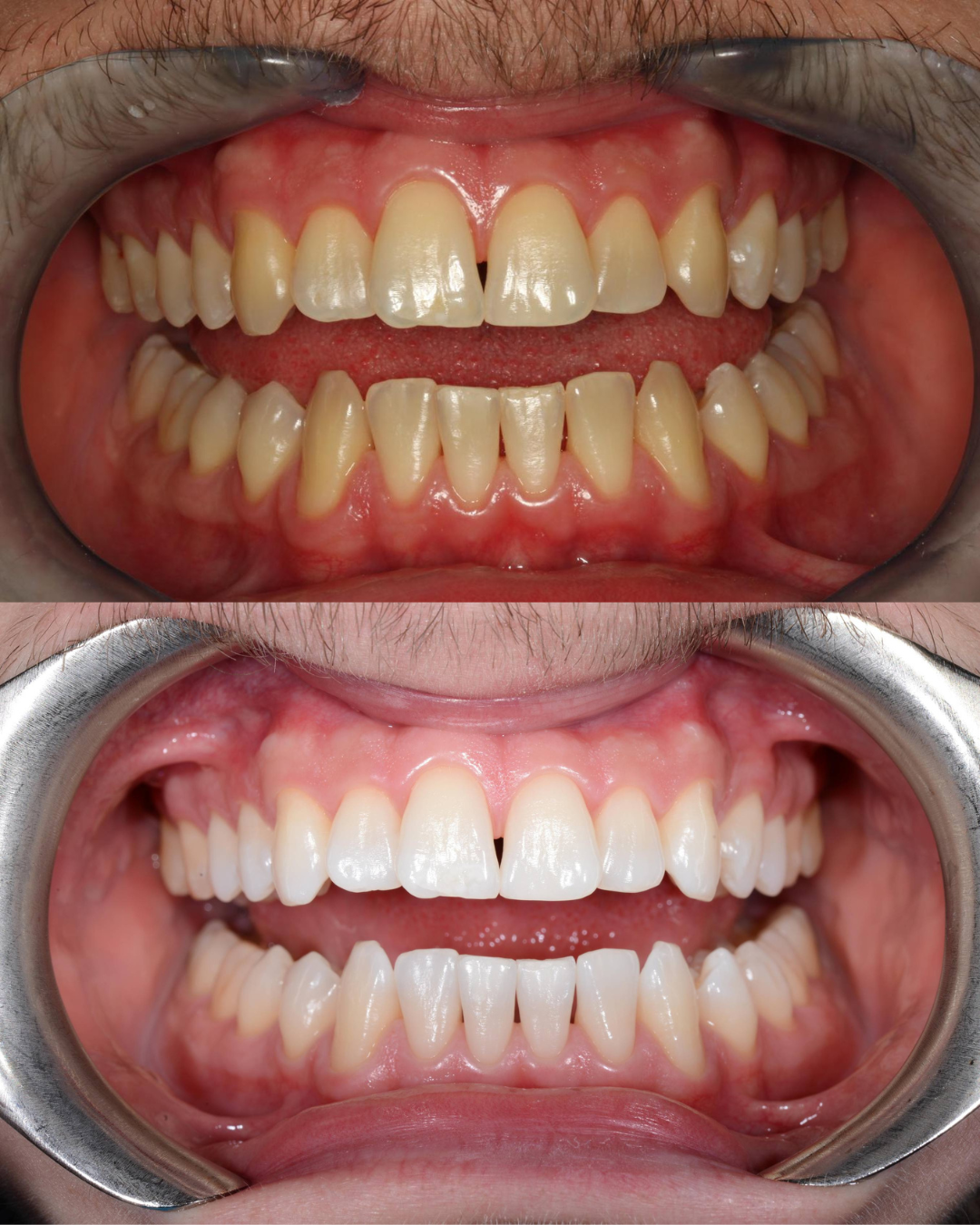
Lo sbiancamento denti è uno dei trattamenti più richiesti da chi desidera un sorriso più luminoso.
Ma è anche uno dei più fraintesi.
C’è chi teme che rovini lo smalto.
Chi ha paura del dolore.
Chi ha provato prodotti fai-da-te senza ottenere risultati.
In questa guida trovi una spiegazione chiara e onesta: come funziona davvero lo sbiancamento dentale, quando è indicato e perché affidarsi a un metodo corretto fa la differenza.
Lo sbiancamento denti non è una semplice pulizia e non è un trattamento “estetico superficiale”.
È una procedura che:
schiarisce il colore naturale dei denti
agisce sui pigmenti presenti nello smalto
deve essere eseguita su denti sani
👉 Punto chiave: non tutti i sorrisi sono uguali e non tutti i denti reagiscono allo stesso modo.
Per questo una valutazione iniziale è sempre indispensabile.
Prima di eseguire qualsiasi sbiancamento, è fondamentale verificare:
lo stato dello smalto
la salute delle gengive
la presenza di carie o sensibilità
Sbiancare denti non sani è un errore e porta a risultati instabili.
Placca e tartaro impediscono allo sbiancamento di funzionare correttamente.
Per questo il trattamento viene eseguito solo su denti puliti, dopo un’igiene professionale.
Non esiste uno sbiancamento “uguale per tutti”.
Il trattamento viene scelto in base alla persona e consente di ottenere:
un risultato graduale
un colore naturale
rispetto di smalto e gengive
No, se eseguito correttamente.
In alcuni casi può comparire una lieve sensibilità temporanea che scompare in poche ore o pochi giorni
Dolore forte o persistente non è normale: spesso è legato a prodotti fai-da-te o trattamenti non controllati.
La durata dello sbiancamento dipende da:
abitudini quotidiane (caffè, vino, fumo)
igiene orale
controlli periodici
In media, il risultato può durare da 6 a 24 mesi.
Lo sbiancamento denti non è un trattamento “una volta per sempre”, ma parte di un percorso di cura e mantenimento.
risultati limitati
nessun controllo clinico
possibile irritazione di gengive e smalto
prodotti calibrati
valutazione clinica
risultati sicuri e prevedibili
La vera differenza non è il prodotto.
È il metodo.
Vuoi approfondire come funziona lo sbiancamento dentale professionale e perché è più sicuro rispetto ai prodotti fai-da-te?
👉🏻 Scopri il nostro approccio allo sbiancamento dentale professionale
Lo sbiancamento denti è indicato per:
denti naturali sani
macchie da caffè, tè o fumo
ingiallimento fisiologico
Non è indicato in presenza di:
carie non curate
gengive infiammate
corone o otturazioni visibili (non cambiano colore)
Se stai cercando uno sbiancamento denti a Trento, anche in zona Gardolo, o nelle aree di Mezzocorona, Lavis e della Piana Rotaliana, è importante sapere che il risultato dipende sempre da una corretta valutazione iniziale.
Presso lo Studio Dentistico Martini lo sbiancamento denti è sempre inserito in un percorso di cura completo, pensato per ottenere risultati naturali e sicuri.
Qui:
ti spieghiamo tutto prima di iniziare
scegliamo il trattamento più adatto a te
rispettiamo la salute della tua bocca
Non serve essere coraggiosi. Serve sentirsi al sicuro.
Lo sbiancamento denti rovina lo smalto?
No, se eseguito in modo professionale e controllato.
I denti tornano gialli?
Il colore può scurirsi nel tempo senza mantenimento, ma non peggiora rispetto alla situazione iniziale.
È adatto anche a chi ha paura del dentista?
Sì. È un trattamento graduale e ben tollerato.
Vuoi capire se lo sbiancamento denti è adatto a te?
Prenota una prima visita presso lo Studio Dentistico Martini.
Accogliamo pazienti da Trento, Gardolo, Mezzocorona, Lavis e tutta la Piana Rotaliana.
Prenota ora e scopri il percorso più sicuro per il tuo sorriso.